全部产品分类
当前位置: 首页 > 行业资讯 > 产品阐释
单纯疱疹病毒Ⅱ型诊断
单纯疱疹病毒采用酶免法进行检测,用到单纯疱疹病毒(Ⅱ型)IgM抗体诊断试剂盒。样本要求:血清标本按照常规方法由静脉采集。血浆标本可采用常规用量的肝素或或枸缘酸钠抗凝。5天内测定的标本可放置4℃保存。标本放置…
来宝商城
839
2016.08.20
弓形虫检测
实验前准备:试剂盒和待检验的样本置室温平衡30分钟。将浓缩洗涤液用蒸馏水或去离子水按1:24稀释成工作洗涤液。实验步骤:1、每次实验均设立空白对照孔,阴性对照,cutoff对照和阳性对照各2孔,每孔各加入100ul相对应…
716
结核菌素试验
结核菌素通常指旧结核菌素(OT)和结核菌纯蛋白衍生物(PPD),常用于结核病流行病学调查、结核菌感染情况监测、卡介苗接种前试验、结核病辅助诊断。自20世纪90年代以来全国主要采用PPD试验,故本节所介绍结核菌素试验为…
930
2016.08.19
结核病临床表现
1、症状 咳嗽、咳痰≥2周,或咯血为肺结核可疑症状。多数起病缓慢,部分患者早期可无明显症状,随着病变进展,患者可表现咳嗽、咳痰、咳血痰或咯血,盗汗,疲乏,间断或持续午后低热,背部酸痛,食欲不振,体重减轻…
781
乙肝临床表现
1、急性乙型肝炎 乙型肝炎潜伏期长,45d-160d,平均120d。最常见的临床表现为全身乏力,食欲减退、恶心、呕吐、厌油、腹泻及腹胀,部分患者有发热(一般不超过38. 5C)、黄疽等症状,体检可发现肝、脾大,肝脏触痛或…
682
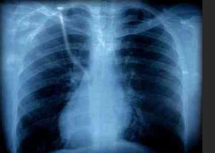
胸部影像学检查
不同类型肺结核的典型胸部影像学表现如下: 原发性肺结核表现为原发病灶及胸内淋巴结肿大或单纯胸内淋巴结肿大。 急性血行播散性肺结核表现为两肺广泛均匀分布的,大小、密度一致的粟粒状阴影;亚急性或慢性者病变以上…
647
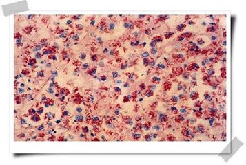
痰涂片检查
痰涂片检查法一、直接涂片法1、玻片的准备:取经95%乙醇擦拭脱脂过的干燥、清洁、无油污、无划痕的新玻璃片,在玻片左端1/3处注明实验室序号及标本序号(如使用的载玻片一端无磨砂面,应该用玻璃笔编号;如使用的载玻…
1060
2016.08.18
分枝杆菌分离培养检查法
分枝杆菌分离培养检查法1、培养基改良罗氏培养基:谷氨酸钠7.2g 磷酸二氢钾2.4g 硫酸镁0.24g 柠檬酸镁0.6g 丙三醇12mL 蒸馏水600mL 新鲜鸡卵液1000mL 2%孔雀绿水溶液20mL 制备方法:基础液制备:量取蒸馏水600mL,加…
906
乙肝五项指标分析
五项指标出现在化验单上时,可以表现为如下几种形式,其意义各不相同,须认真识别。[1]一、乙肝小三阳,即乙肝表面抗原、e抗体、核心抗体同时阳性,这是乙肝病毒“大三阳”转变后的形式过去一直认为乙肝小三阳预示患者…
645
乙肝五项检测实验-ws 299-2008
1.1 检测HBsAgELISA双抗体夹心法操作步骤:a)配液:将3OmL浓缩洗涤液(20 X)用蒸馏水或去离子水稀释至600mL备用。b)编号:将样品对应微孔按序编号,每板应设阴、阳性对照各2孔和空白对照1孔(空白对照孔不加样品及酶…
1068
2016.08.17
美容皮肤科
小型美容院
病理科
二级医院病理科
大型美容整形医院
PCR实验室
二级医院(常规标配版)
乡镇卫生院(常规低配版)
新冠疫苗接种
卫生室疫苗接种基础设备
儿科
新生儿科病房必备设备
康复科
二级医院康复科推荐方案
中医门诊推荐方案
发热门诊
二级医院发热门诊