全部产品分类
当前位置: 首页 > 行业资讯 > 全部资讯
纯水机简介
一、工作原理:对水施加一定的压力,使水通过各级滤芯,其中的杂质被除去,从而起到净化水质的作用二、为什么要使用纯水机1、水质分类:①、地下水:是雨水经过土壤及地层的渗透流动而形成的水,特点是离子含量比较高,…
来宝商城
745
2016.08.31
pH计与pH电极的选用技巧,教你快速掌握!
pH计,又叫酸度计或酸度仪,是化学实验室的最常用科学仪器之一,主要用于精密测量液体介质的酸碱度值,配上相应的离子选择电极也可以测量离子电极电位MV值。pH计在样品pH值测试和辅助配制化学试剂等方面不可或缺,在食…
1487
2016.08.30
种子发芽方法大全!种植必备神器
一、十字花科(大白菜、萝卜、甘蓝、菜花、油菜、芥菜、雪里红等) 这些蔬菜种子发牙温度为15-30℃,温度适宜范围广,由于种皮薄,不用浸种,直接播在小型培养皿中,采用纸上发芽,发芽期间种子不必淘洗。二、葫芦…
768
2016.08.26
生化培养箱在种子催芽时的技术特性
生化培养箱可以使催芽的温度均匀以及温度均匀才能够使发芽整齐。人工气候箱的温度不均匀度一般是小于1℃,光照箱的温度不均匀度一般是小于1.5℃,大中型催芽室的温度不均匀度一般是小于2℃。由于大多数的种子发芽是无…
719
种子健康测定的重要性
种子健康测定对保护正常种子贸易、生产安全,保证产品质量、防止人畜中毒,减轻生产成本、提高产量和产品质量是极其重要的。 1.1种传病虫引起减产 种子是种植业的基本生产资料。世界上约有90%食用作物是用种子…
709
梅毒实验室检查
一期梅毒暗视野显微镜检查:皮肤黏膜损害或淋巴结穿刺液可查见梅毒螺旋体。非梅毒螺旋体抗原血清学试验:阳性。如感染不足2~3周,该试验可为阴性,应于感染4周后复查。梅毒螺旋体抗原血清学试验:阳性。二期梅毒暗视…
694
2016.08.25
梅毒临床症状
一期梅毒硬下疳:潜伏期一般为2~4周。一般为单发,但也可多发;直径约1cm~2cm,圆形或椭圆形浅在性溃疡,界限清楚、边缘略隆起,疮面清洁;触诊基底坚实、浸润明显,呈软骨样的硬度;无明显疼痛或触痛。多见于外生殖…
633
更换用水储罐就得重新做GMP认证么?
前几天在蒲公英看到该贴,楼主很愤怒无处发泄。。。 “公司今年刚更换了注射用水的储罐,容积由3m3变为了12m3,变更前后材质不变,注射用水系统其它部分均未变更。按规定该厂已经对整个系统进行重新验证,并向省局递…
1160
2016.08.24
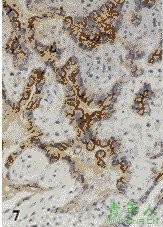
肺癌病理评估
病理评估 (一)肺癌的标本固定标准。 1.固定液:推荐使用10%中性福尔马林固定液,避免使用含有重金属的固定液。 2.固定液量:必须为所固定标本体积的10倍或以上。 3.固定温度:常温。4.按照收到标本时肿瘤的部位和…
747
2016.08.23
肺癌临床表现
1.肺癌早期可无明显症状。当病情发展到一定程度时,常出现以下症状: (1)刺激性干咳。 (2)痰中带血或血痰。 (3)胸痛。 (4)发热。 (5)气促。 当呼吸道症状超过两周,经治疗不能缓解,尤其是痰中带血、…
708
美容皮肤科
小型美容院
病理科
二级医院病理科
大型美容整形医院
PCR实验室
二级医院(常规标配版)
乡镇卫生院(常规低配版)
新冠疫苗接种
卫生室疫苗接种基础设备
儿科
新生儿科病房必备设备
康复科
二级医院康复科推荐方案
中医门诊推荐方案
发热门诊
二级医院发热门诊