全部产品分类
当前位置: 首页 > 行业资讯 > 全部资讯
三级医院免疫科诊断标准
必须能够诊治的疑难重症疾病名称诊断手段确诊天数治疗方法系统性红斑狼疮抗核抗体及免疫指标检测+肾脏病理活检1-3天激素+免疫抑制剂类风湿关节炎抗核抗体+抗环瓜氨酸多肽抗体及免疫指标检测+关节超声+关节核MRI1-3天慢…
来宝商城
915
2016.06.29
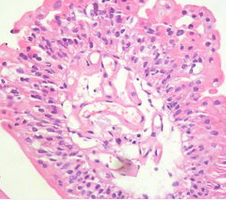
皮肌炎诊断方法
诊断方法典型皮损、肌肉症状、血清酶谱、肌电图、肌肉活检等确诊。 1.白细胞多增高,血沉增快,尿肌酸排泄增加。少数多发性肌炎及60%儿童皮肌炎患者可有低滴度的ANA。 2.自身抗体:抗体可为阳性,并有特异抗体,…
784
痛风诊断方法
实验室检查:1.尿液检查 正常人经过5天的限制嘌呤饮食后,24h尿的尿酸排泄量一般不超过3.57mmol(600mg)。由于急性发作期尿酸盐与炎症的利尿作用,使患者的尿尿酸排泄增多,因而此项检查对痛风的诊断意义不大。但24h尿…
697
类风湿关节炎诊断
实验室检查:1.血细胞沉降率 大多数患者血细胞沉降率增快,尤其是在急性期。2.血红蛋白含量 略低于正常,晚期病例则可出现轻度贫血,血红蛋白含量大多在8~10g之间。3.抗链球菌溶血素O(ASO)、类风湿因子(RF) 典型的…
634
饲料中粗脂肪含量的测定原理/操作/仪器设备
脂肪是饲料、饲料原料中的重要指标之一,是畜禽的主要营养成分。脂肪含量的多少也是衡量产品质量合格与否的指标。 一、实验原理: 索氏脂肪提取器中用乙醚提取试样,称提取物的重量,除脂肪外还有有机酸,磷脂、脂溶性…
1116
2016.06.28
Western实验步骤
1. 蛋白样品制备 (1) 单层贴壁细胞总蛋白的提取:① 倒掉培养液,并将瓶倒扣在吸水纸上使吸水纸吸干培养液(或将瓶直立放置一会儿使残余培养液流到瓶底然后再用移液器将其吸走)。② 每瓶细胞加3ml 4℃(药品冷藏箱…
786
WB实验指南
Western Blot是通过聚丙烯酰胺凝胶电泳将蛋白根据分子量大小分开,然后转移到固相载体(杂交膜)上,最后通过抗原抗体反应检测杂交膜上的靶蛋白是否存在,从而检测到靶蛋白在待测标本中的表达情况。目前Western Blot已…
735
结核病的细菌学检验
一、抗酸杆菌涂片检查法(一)直接涂片法1、痰液 用折断的竹毛茬端挑取干酪样或脓性痰部分0.05-0.1ml,涂于载物玻片2/3处,均匀涂抹成2.0cm*2.5cm大小的卵圆形痰膜,待自然干燥,微火焰固定,染色镜检。载物玻片应清洁…
865
2016.06.25
传染病医院建设标准
传染病医院和综合医院内传染病区的建设规模均按床位计算。传染病医院的建设规模分为150床、250床、400床及400床以上;综合医院内传染病区的建设规模分为40床以下、40床、80床。如考虑平时与突发事件结合,床位编制可根…
1399
2016.06.24
县级妇幼保健院建设标准
一、房屋建筑 妇幼保健所业务用房面积业务达到800平方米 妇幼保健院保健用房按800平方米建设。需要住院服务的,按每床建筑面积不少于45平方米增加面积,其中50万人口以下的妇幼保健院,业务用房总面积不超过140…
3122
2016.06.23
美容皮肤科
小型美容院
病理科
二级医院病理科
大型美容整形医院
PCR实验室
二级医院(常规标配版)
乡镇卫生院(常规低配版)
新冠疫苗接种
卫生室疫苗接种基础设备
儿科
新生儿科病房必备设备
康复科
二级医院康复科推荐方案
中医门诊推荐方案
发热门诊
二级医院发热门诊